slider

Cosmetic Fillings

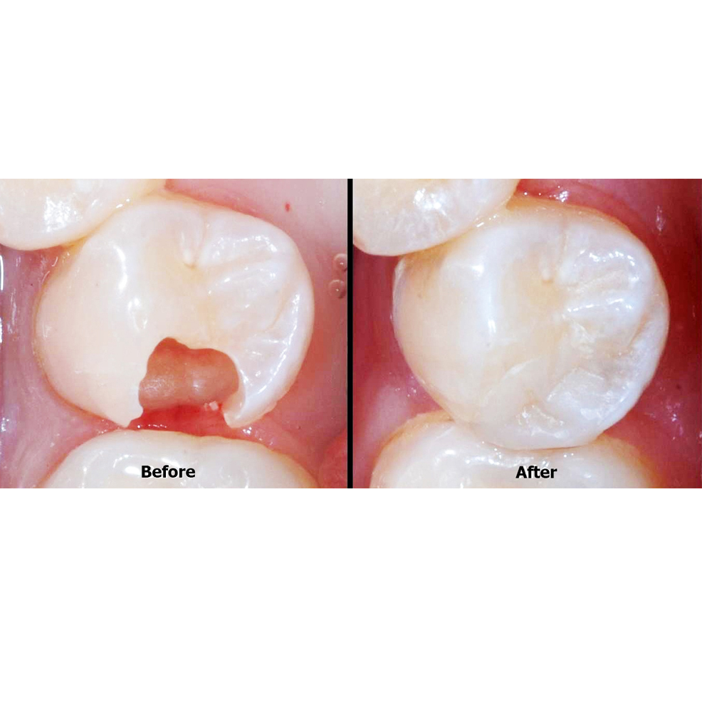
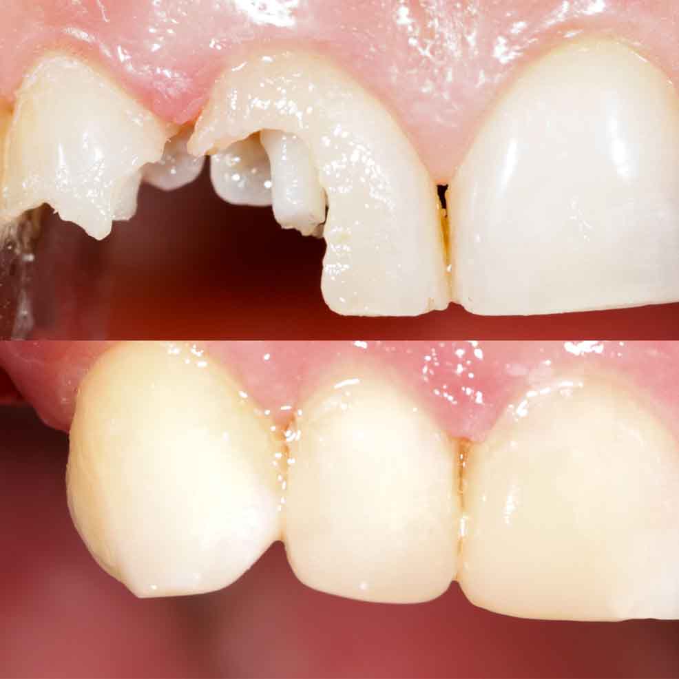
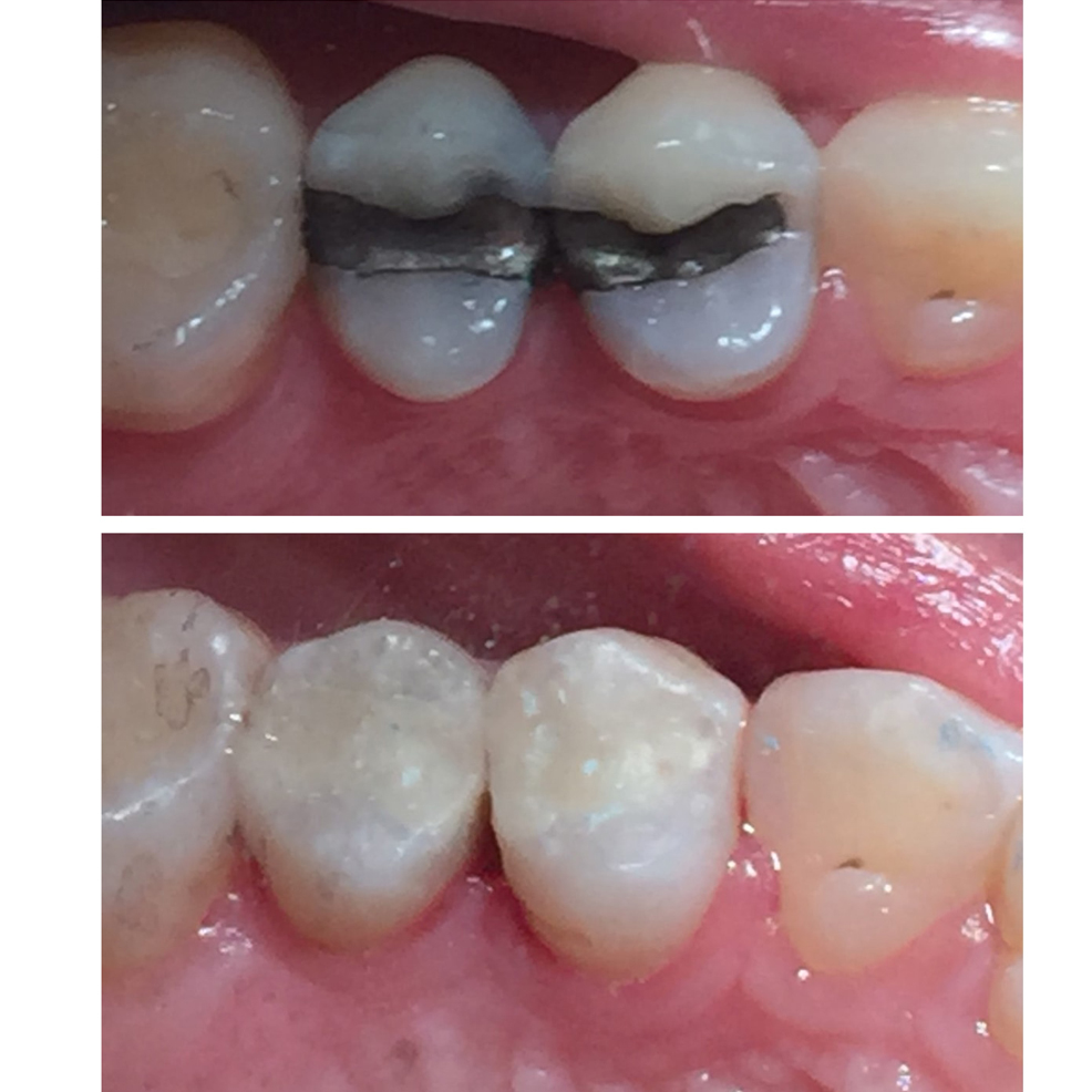
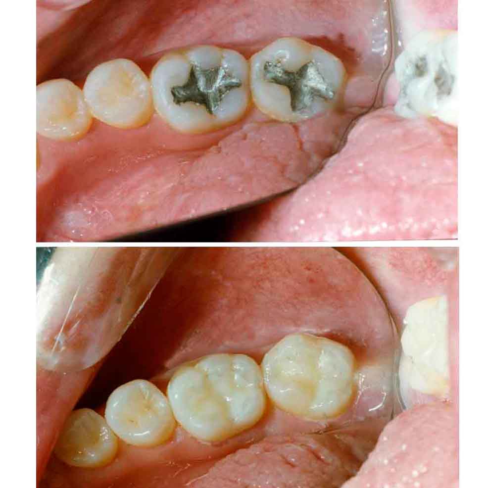
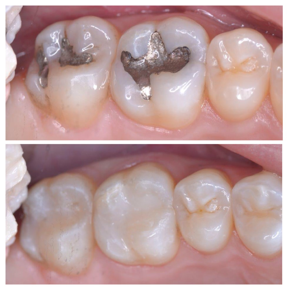
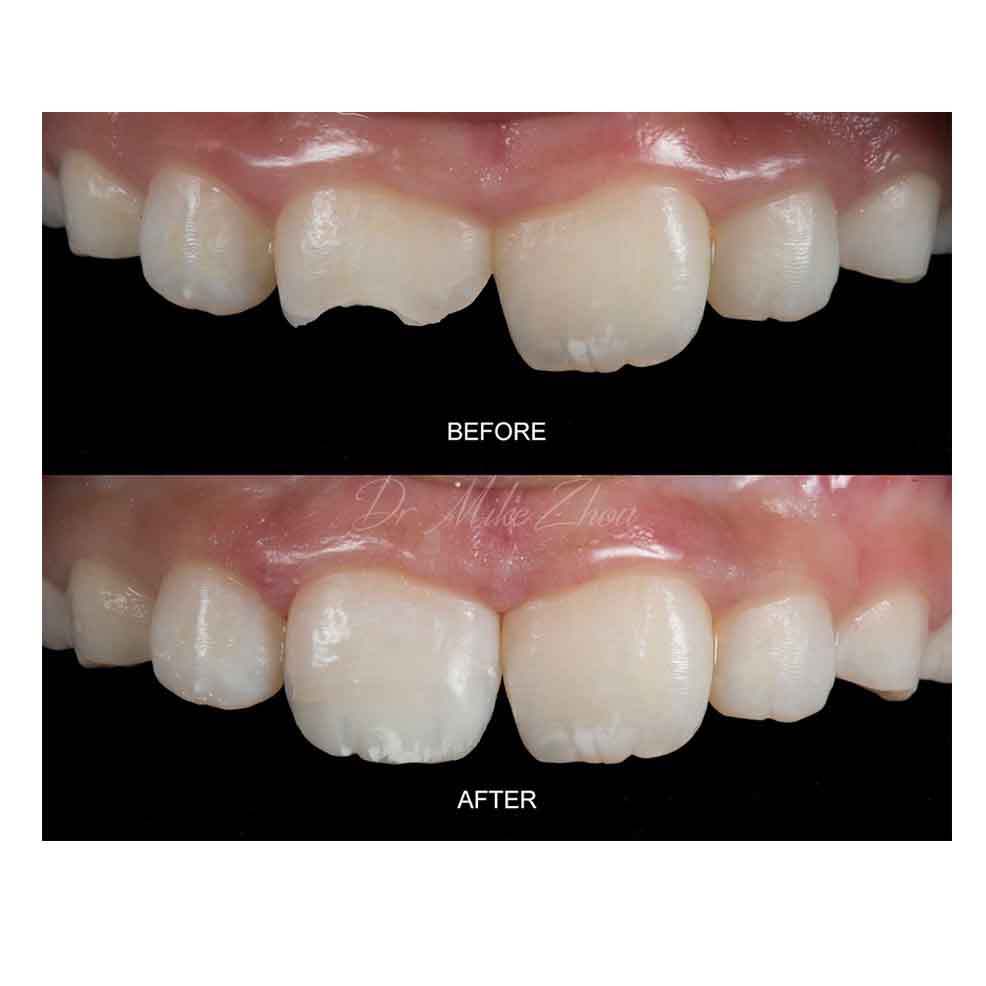
A filling is a material that will be placed to restore a decayed tooth. While there are many different kinds of dental fillings , most people prefer to get tooth-colored, or cosmetic fillings, because they are designed to match the shade of your tooth. This treatment stops the decay from spreading into the root where it will cause a serious infection, e.g. an abscess. This also removes the need for a tooth extraction. The composite white filling is a synthetic combination of acrylic resin and glass which has a white colour thereby enabling it to match the colour of the tooth. This is also chosen for aesthetic reasons as many people prefer to have fillings which match the rest of their teeth rather than the distinctive silver filling.  

Advantages of cosmetic fillings

Composite white fillings have a natural colour which is similar to the colour of your natural teeth and so blends it well with them. Plus there have been issues raised about the safety of silver amalgam fillings due to their mercury content which has prompted some people to switch to composite fillings instead.

Cosmetic Dental Fillings in West Marredpally
Cosmetic Dental Fillings in West Marredpally
Cosmetic Dental Fillings in West Marredpally
Cosmetic Dental Fillings in West Marredpally
Cosmetic Dental Fillings in West Marredpally
Cosmetic Dental Fillings in West Marredpally

Cosmetic Dental Fillings in West Marredpally