slider

Gum Disease Treatments

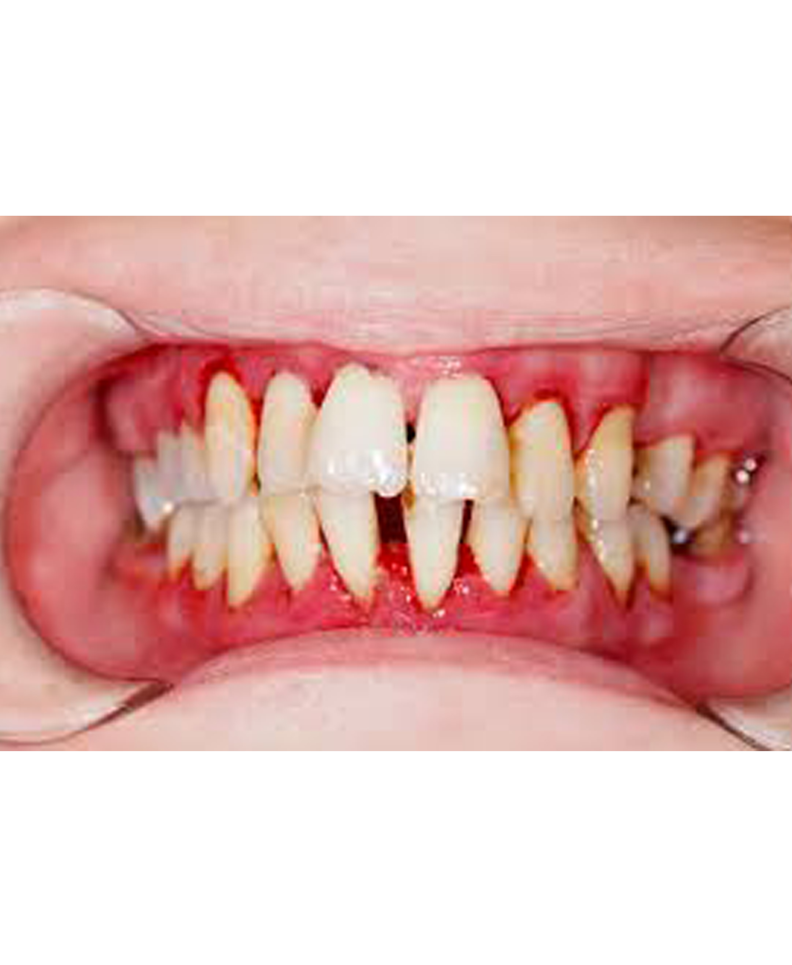
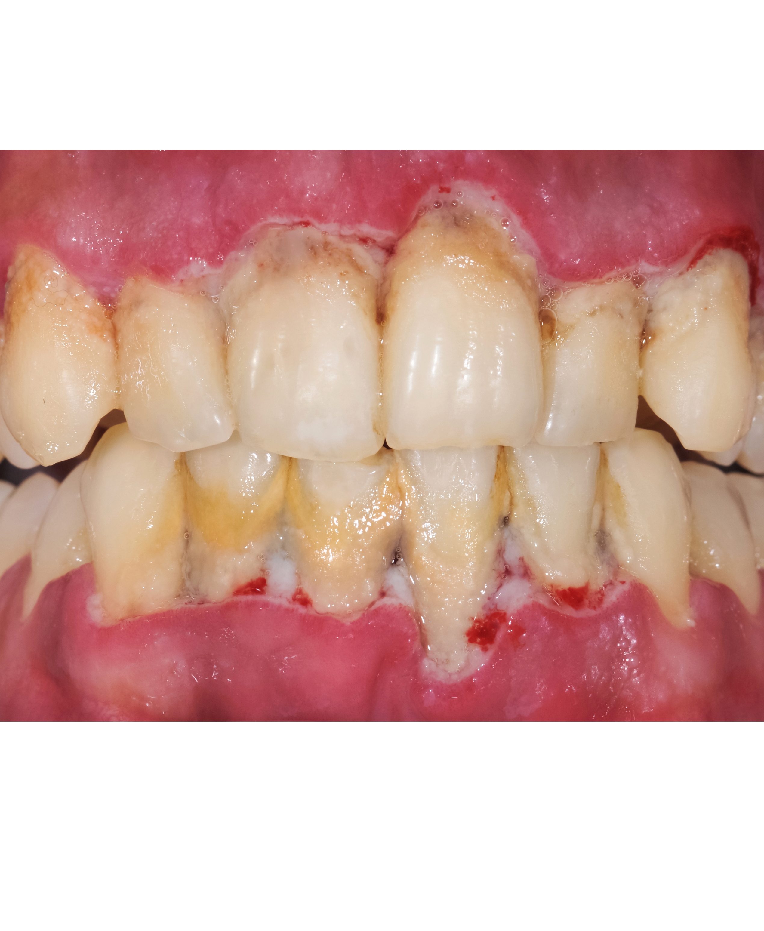
Although serious gum infections aren’t extremely common, they can lead to major issues if not treated in a timely manner. While most of us want to keep our teeth and gums healthy, your gums can be prone to gum infection if not cared for properly. Identifying warning signs that can lead to infected gums is an important way to help prevent further gum disease and all the side effects that come with it.

Signs that you may have infected gums include:

  • Gums that are swollen, tender or bleeding
  • Receding gums
  • Pus coming from the gums
  • Chronic bad breath
  • Loose teeth
  • A noticeable change in the way your teeth fit together when you bite

If you are suffering from any of the symptoms listed above, it is important that you visit and consult with your dentist to determine the severity of infection and the proper course of action to take to combat the issue.

TREATMENT


Antibiotic Therapy:

Just as you’d expect with any type of infection, antibiotics are often used to treat gum infection. Your dentist may elect to use an antibiotic pill or injection directly into the gum infection site.

Root Planing and Scaling Treatment:

This advanced gum infection treatment cleans deeply between your gums and teeth—all the way to the roots.

Gingivectomy:

A gingivectomy is a form of gum infection treatment that involves the removal of gum tissue.

Flap Surgery:

If your gum disease is severe, flap surgery may be necessary involving bone or tissue grafts.

Gum Disease Treatment in Secunderabad
Gum Disease Treatment in Secunderabad
Gum Disease Treatment in Secunderabad
Gum Disease Treatment in Secunderabad
Gum Disease Treatment in Secunderabad
Gum Disease Treatment in Secunderabad
Gum Disease Treatment in Secunderabad

Gum Disease Treatment in Secunderabad